Кариес — это сложный, многофакторный патологический процесс, при котором происходит деминерализация и разрушение твёрдых тканей зуба (эмали и дентина) с образованием дефекта в виде полости (дырки).
Если объяснять простыми словами, это “гниение” или разложение зуба, вызванное кислотой, которую производят бактерии, живущие в зубном налёте.
Кариес — это самое распространённое неинфекционное заболевание в мире, которым страдает более 90% населения.
В отличие от простой полости, это сложный процесс, который можно предотвратить (профилактика) и остановить на ранней стадии (лечение белого пятна).
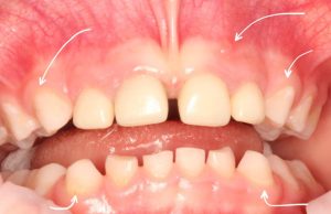
Как выглядит молочный кариес (особенности внешнего вида)
Ранний детский кариес часто выглядит не так, как у взрослых, и его можно пропустить.
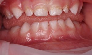
- Начальная стадия (стадия пятна): белые меловые пятна или полосы у десны, особенно на передних верхних зубах. Эмаль теряет блеск. Это самая обратимая стадия. Бессимптомна. Обнаруживается при осмотре.

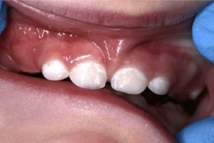
- Поверхностный кариес : пятно темнеет (до коричневого). Эмаль разрушается, появляется дефект. Кратковременная чувствительность к сладкому, кислому. Пример: стабилизированная форма поверхностного кариеса и кариеса в виде белого пятна.

3. Средний кариес: видимая кариозная полость (дырка). Дентин (основная ткань зуба) поражен. Боль от сладкого, холодного, горячего, при попадании пищи. После устранения раздражителя боль проходит.

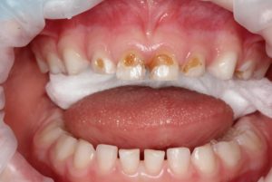
- Глубокий кариес – глубокая кариозная полость, возможно с темным содержимым. Тонкая стенка зуба отделяет полость от нерва (пульпы). Сильная боль от раздражителей, долго не проходит. Ребенок может избегать жевать на этой стороне.

- Пульпит – кариозный процесс доходит до нерва в зубе. Зуб может быть сильно разрушен, отколоться стенка зуба. При обострении хронического процесса – самопроизвольная, ночная/вечерняя, пульсирующая боль. Или бессимптомное течение, если процесс хронический.


- Периодонтит – осложнение предыдущей стадии. Возможен отек десны, свищ (белый прыщик на десне). Боль при накусывании. Возможна температура, общее недомогание.

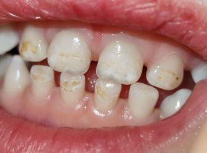
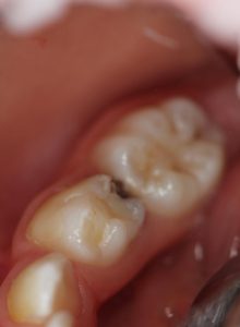
7. Поражение жевательных поверхностей: в бороздках (фиссурах) жевательных зубов появляются темные точки или линии.

- Контактный (скрытый) кариес между зубами – чаще всего возникает в возрасте 3-6 лет, когда контакты между зубами становятся плотными, часто выявляются на диагностических снимках. В полости рта при поверхностной и средней стадии кариеса его не видно, только когда уже возникает пульпит.

Важно: Кариес у детей развивается стремительно из-за тонкой эмали и широких дентинных канальцев. От белого пятна до пульпита может пройти несколько недель или месяцев.
Основные причины кариеса у детей
- Недостаточная гигиена полости рта. Это главная причина. Зубы нужно чистить с момента прорезывания первого зуба, с эффективными средствами и предметами гигиены, а также вовремя использовать дополнительные предметы гигиены (зубная нить).
- Неправильное питание и режим кормления
- Частые ночные кормления (грудью после 1 года, смесью, сладкими напитками). Ночью слюны мало, и сахара надолго остаются на зубах.
- Длительное использование бутылочки с соком, компотом, сладкой водой.
- Частые перекусы сладким (печенье, конфеты, сушки). Кариесогенные бактерии питаются углеводами и производят кислоту, которая разрушает эмаль, а слюна не успевает восстановить кислотно-щелочное равновесие.
- Инфицирование кариесогенными бактериями (Streptococcus mutans): часто происходит от родителей через облизанную ложку, соску, поцелуи в губы, особенно если у мамы или папы есть нелеченый кариес.
- Нарушения прикуса и скученность зубов затрудняют чистку.
- Общие факторы: ротовое дыхание, увеличенные аденоиды, сниженный иммунитет, заболевания органов эндокринной системы, нарушение обмена веществ – увеличивают риски развития кариеса.
Эффективные методы лечения детского кариеса
Современная детская стоматология направлена на минимизацию стресса и сохранение зубов до их естественной смены.
- Неинвазивные методы (без сверления)
- Реминерализация и фторирование: На ранней стадии пятна. Зубы покрывают гелями, лаками с кальцием, фосфором, фтором для укрепления эмали. Курс процедур.
- Герметизация фиссур: Запечатывание бороздок жевательных зубов специальным композитом для защиты от кариеса.
- Технология ICON (инфильтрация): Лечение кариеса в стадии белого пятна без сверления. На пятно наносят специальный инфильтрант, который его «запечатывает».
- Минимально инвазивные методы: ART – методика: атравматичная реставрационная техника с применением цементов. Если кариозная полость не глубокая – кариес вычищают специальным ручным инструментом, проводят медикаментозную обработку полости, и заполняют её стекло-иономерным цементом. Стеклоиономерные цементы выделяют фтор, что защищает зуб от повторного кариеса.
- Классическое лечение с препарированием и постановкой пломбы (реставрации)
- При глубоком разрушении применяют детские коронки (чаще всего металлические, заранее изготовленные), которые надежно восстанавливают функцию зуба.

- Лечение под седацией или наркозом
- Седация закисью азота («веселящий газ») — ребенок расслаблен, но в сознании.
- Лечение под наркозом — проводится по строгим показаниям (большой объем работы, маленький возраст, панический страх, особенности развития).
Ключевое: советы по профилактике
- Гигиена с первого зуба.
Рекомендуется использование детской зубной щетки и пасты с фторидами в минимально эффективной профилактической концентрации 1000 ppm размером с рисовое зерно (0-3 года) или с горошину (3-6 лет).
- Чистить зубы 2 раза в день.
До 6-7 лет чистку обязательно контролируют и завершают родители.
Когда межзубные промежутки станут плотными (3-4 года или ранее) — рекомендуется начать использование зубной нити или флосстиков.
- Сбалансированное питание
- Ограничить частые перекусы, особенно липучими сладостями.
- Не давать сладкие напитки (соки, компоты) в бутылочке перед сном и ночью.
- После еды (если нет возможности почистить зубы) предложить воду или твердый овощ/фрукт (яблоко, морковь).
Достаточное количество кальция (молочные продукты), и фосфора в рационе ( рыба, морепродукты ) .
- Регулярные визиты к стоматологу
- Первый визит — в 6-12 месяцев (после прорезывания первых зубов).
- Затем — каждые 3-6 месяцев для профилактического осмотра и процедур (фторирование, герметизация).
- Профилактика инфицирования
- Не облизывать соску, ложку ребенка.
- Лечить свой собственный кариес.
Часто задаваемые вопросы
«Зачем лечить молочные зубы, если они всё равно выпадут?»
Лечить молочные зубы обязательно! Их ранняя потеря ведет к нарушению прикуса, проблемам с пищеварением и речью, повреждению зачатков постоянных зубов.
В каком возрасте нужно впервые показать ребёнка стоматологу?
С появлением первого зуба (в 6-12 месяцев) или не позднее 1 года.
Как лечат кариес самым маленьким (1-3 года)? Ребёнок не усидит в кресле!
Современная детская стоматология предлагает щадящие методы без сверления и лечение в седации/наркозе, если это необходимо.
Какой самый главный совет по профилактике кариеса?
Комбинация правильной гигиены и контроля над сахарами в рационе (особенно в ночное время).
Что вреднее для зубов: шоколад или пастила?
Чаще вреднее пастила, сушки, ириски, поп-корн. Шоколад (особенно тёмный) быстро смывается слюной. А мягкие, липкие углеводы (пастила) надолго прилипают к зубам, создавая идеальную среду для бактерий. Ключевой фактор — не только качество, но и частота употребления сладкого. Лучше съесть целую шоколадку за раз и почистить зубы, чем весь день понемногу есть печенье.
Заключение
Детский кариес — быстротечное и опасное заболевание. Его легче и дешевле предотвратить, чем лечить. Регулярный уход, правильное питание и своевременные визиты к детскому стоматологу — залог здоровой улыбки вашего ребенка.