Боль в спине является одной из самых распространенных жалоб при первичном обращении к врачу, и несмотря на то, что в 90% случаев эта боль является неспецифической и не требует дополнительного обследования и специального лечения в ряде случаев консультация профильного специалиста просто необходима!

Для начала скажем пару слов о нормальном строении межпозвонкового диска. Межпозвонковый диск представляет собой структуру, которая находится между каждыми двумя соседними позвонками позвоночника и служит амортизатором и стабилизатором для позвоночного столба.
Он состоит из двух основных частей:
Ядро диска (n. Pulposus): ядро диска находится внутри и представляет собой гелеподобную массу. Оно содержит большое количество воды и коллагеновых волокон, что придает ему упругость и способность амортизировать нагрузку на позвоночник.
Фиброзное кольцо: это внешняя оболочка диска, состоящая из нескольких слоев коллагеновых волокон, расположенных кольцами. Фиброзное кольцо придает диску прочность и предотвращает выход ядра диска за его пределы.
Межпозвоночной грыжей поясничного отдела позвоночника называют выбухание армотизирующей части межпозвонкового диска (n. Pulposus) через образовавшийся дефект в фиброзном кольце диска. В зависимости от конфигурации (протрузия/экструзиясеквестр), размеров и локализации грыжа может сдавливать нервные элементы и вызывать соответствующую неврологическую симптоматику, о которой мы поговорим далее.

Рис. Схематическое изображение грыжи межпозвонкового диска

Остальные методы исследований (КТ, функциональная рентгенография, ЭНМГ) являются вспомогательными и зачастую требуют выполнения при наличии сомнений о причине развития неврологических нарушений и необходимости проведения дифференциального диагноза с туннельными синдромами, нейропатиями, наличия нестабильности в поясничном отделе позвоночника и т.д.

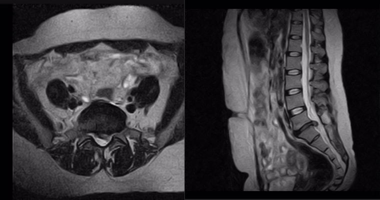
Рис. – МРТ пояснчиного отдела позвоночника. Грыжа м/п диска L5-S1 c каудальной миграцией слева.

Рис. Схема маршрутизации пациентов страдающих от грыж межпозвонковых дисков на поясничном уровне.
Какие же грыжи межпозвонковых дисков может лечить невролог? Может показаться странным, но, за редким исключением,ВСЕ. Лечение грыж межпозвонковых дисков начинается с консервативной терапии как с самой неинвазивной опции и в большинстве случаев позволяет справиться с обострением заболевания.
Пациентам выписывается курс НПВС с миорелаксантами, при необходимости в условиях стационара проводится внутривенное введение стероидов для устранения симптомов болезни, так же рекомендуется соблюдение ортопедического режима в виде ношения поясничного корсета в течении дня на период обострения.
При неэффективности консервативного лечения и сохраняющейся боли пациент маршрутизируется на следующий этап лечения – проведения лечебных медикаментозных блокад.
Пациентам под контролем навигации (Рентген или ультразвуковой) проводится ряд инъекций в область эпидурального пространства поясничного отдела позвоночника. Такая процедура позволяет доставить лекарственные средства локально в область конфликта корешка и грыжи межпозвонкового диска, снять воспаление, избавиться от боли и ускорить процессы резобрции грыжи.

Рис. Проведение интервенционного лечения (трансфораминальной эпидуральной блокады на поясничном уровне). Блокада проводится с введением контрастного вещества для определения попадания лекарства в эпидуральное пространство.
Однако в ряде случаев даже интервенционное лечение не помогает справиться с возникшими симптомами и требуется хирургическое вмешательство. На сегодняшний день золотым стандартом является микрохирургическая/эндоскопическая декомпрессия позвоночного канала без проведения дополнительной стабилизации металлоконструкциями.
Идея операции заключается в удалении грыжи при помощи специальных инструментов, чем достигается устранение давления на заинтересованный корешок. Все операции проводятся по принципам минимально инвазивной хирургии что позволяет начать реабилитационные мероприятия в кратчайшие сроки.
Все описанные методы (включая хирургическое вмешательство) позволяют только справиться с обострением болезни под названием остеохондроз. После проведения такого лечения пациенты обязательно должны быть направлены к грамотному реабилитологу для проведения комплексного восстановления, закрепления результата и предотвращения подобных эпизодов в будущем.

Показаниями к операции по удалению грыжи межпозвоночного отдела в соответствии с рекомендациями Российской ассоциации нейрохирургов являются:
Отдельно к показаниям к хирургическому лечению я бы хотел отнести желание пациента, которое тоже необходимо учитывать. Если пациент согласен идти на определенные риски чтобы получить наиболее радикальное лечение и не может терпеть боль в течение 2х месяцев, конечно необходимо двигаться в сторону операции, особенно сегодня, когда развитие эндоскопической техники позволяет сузить госпитализацию до нескольких часов, нивелировать повреждения мышц стабилизаторов поясницы, и сократить период реабилитации после удаления грыжи поясничного отдела при максимально быстром возвращении привычного качества жизни без боли и других симптомов!
Какие упражнения при грыжах поясничного отдела позвоночника?
Все достаточно просто, для этого надо разделить болезнь на периоды обострения и вне обострения. В период обострения активные физические упражнения не рекомендованы, так как они могут вызвать усиление боли и другой неврологической симптоматики. В этот период рекомендован относительный покой и активность, которая не вызывает усиления болевого синдрома. Вне обострения пациенту необходимо восстанавливаться, и для этого помогут следующие упражнения:

Да, при хирургическом лечении грыж возможны рецидивы (3-5%), и даже после удачно выполненной операции в течение нескольких лет у пациента также может появиться грыжа в другом сегменте позвоночного столба, что никак не связано с предыдущей операцией, и является проявлением течения дегенеративных изменений позвоночника.
Современное хирургическое лечение сопряжено с рядом осложнений, одним из которых является повреждение нервного корешка, что может привести к необратимой утрате его функции, т.е. пациент будет страдать от онемения и слабости в определенном сегменте нижней конечности, но ходить и иметь активную жизнь пациент все таки сможет и в коляске передвигаться не будет.
В заключении хотелось бы отметить, что межпозвонковая грыжа является распространенным состоянием, которое не относится к группе жизнеугрожающих состояний, но тем не менее приводит к выраженным страданиям и нарушению качества жизни у пациентов.
В ходе данной статьи мы рассмотрели различные методы лечения грыжи межпозвонковых дисков, включая консервативные подходы, такие как физическая терапия и лекарственное лечение, а также поговорили про золотой стандарт хирургического лечения.
Важно отметить, что выбор метода лечения должен основываться на индивидуальных особенностях каждого пациента, включая степень тяжести симптомов, наличие сопутствующих заболеваний и общее состояние здоровья. Консультация с квалифицированным врачом позволит определить оптимальный план лечения, который обеспечит максимальное облегчение симптомов и улучшение качества жизни пациента.
Помимо этого, необходимо учитывать, что успешное лечение грыжи межпозвонковых дисков часто включает в себя не только физические методы, но и психологическую поддержку и образ жизни, направленный на поддержание здоровья позвоночника в долгосрочной перспективе.
Помните, что здоровьем позвоночника занимается мультидисциплинарная команда, самым главным участником которой является сам ПАЦИЕНТ!
Автор: Рыбаков Владимир Александрович, ортопед, нейрохирург